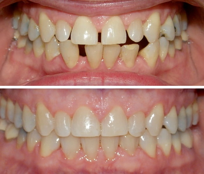
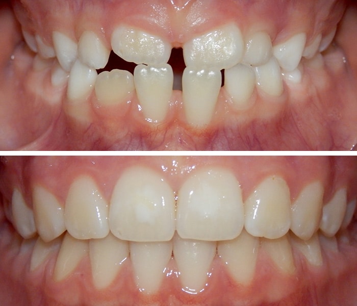
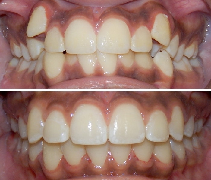
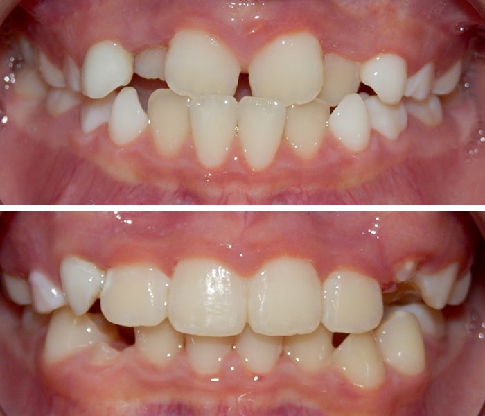
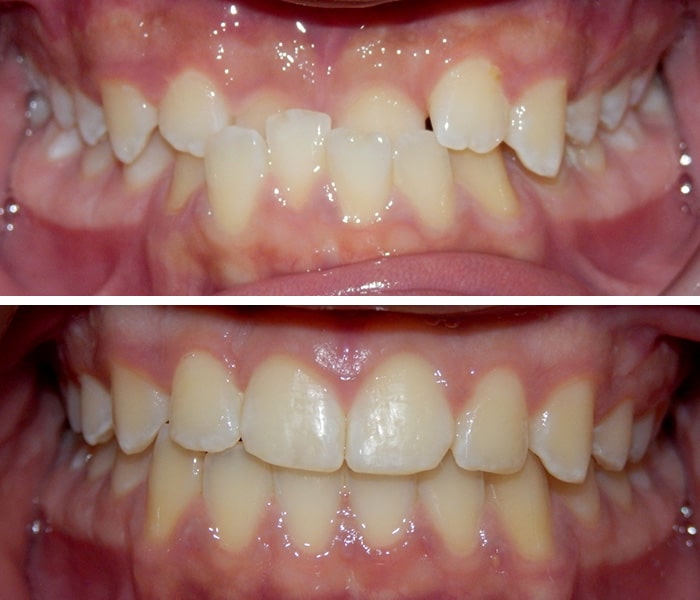
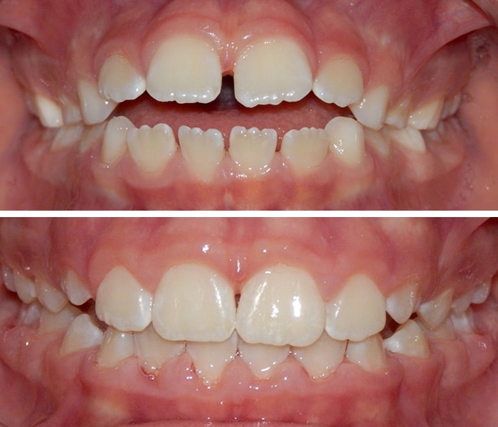
Before and After Gallery

Our before-and-after photos showcase real patients and real orthodontic results achieved through personalized treatment plans. Every smile you see reflects careful planning, advanced technology, and Dr. Mattioli’s commitment to creating healthy, confident outcomes for patients of all ages.