Common Orthodontic Problems or Malocclusion

Orthodontic issues can affect anyone, in fact, perfectly aligned teeth are quite rare. A malocclusion, or “bad bite,” can impact chewing, oral hygiene, speech, and the overall appearance of your smile. These bite problems may be inherited or caused by factors such as:

  • Thumb sucking

  • Dental disease

  • Poor oral hygiene

  • Accidents or injuries

  • Birth defects

  • Other medical conditions

Understanding the orthodontic problem you or your child may have is the first step toward correcting it. With treatment from Dr. Robert Mattioli, you can improve both the functionality of your bite and the beauty of your smile.

Below are some of the most common orthodontic problems we treat:
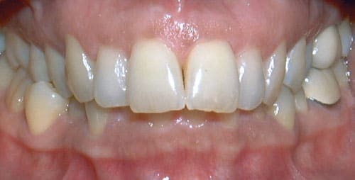
Protrusion Mattioli Orthodontics in East Greenwich, RI

Upper Front Teeth Protrusion

The upper front teeth extend too far forward, or the lower teeth are positioned too far back. This affects both the appearance and function of the teeth. Correction can improve facial balance and reduce the risk of injury to protruding teeth.

Overbite Mattioli Orthodontics in East Greenwich, RI

Overbite

The upper front teeth overlap significantly with the lower front teeth, sometimes causing the lower teeth to bite into the roof of the mouth. Treating an overbite can help prevent tooth wear and discomfort over time.

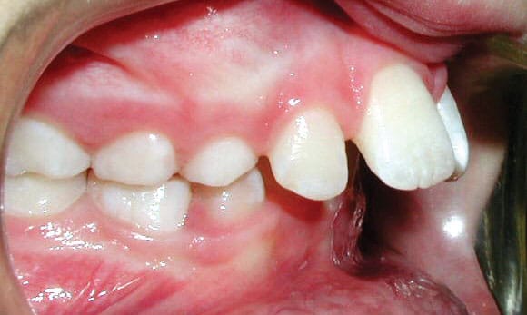
Crossbite Mattioli Orthodontics in East Greenwich, RI

Crossbite

The upper teeth sit inside the lower teeth, which can lead to misaligned jaw growth and uneven tooth wear. Addressing a crossbite early can help guide proper jaw development and protect dental health.

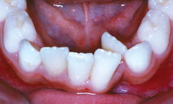
Open Bite Mattioli Orthodontics in East Greenwich, RI

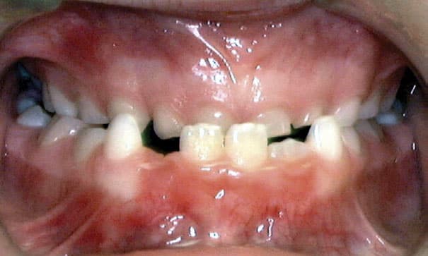
Open Bite

The upper and lower front teeth do not overlap when biting down. This can make chewing difficult and may contribute to habits such as tongue thrusting. Correcting an open bite can also improve speech and bite function.

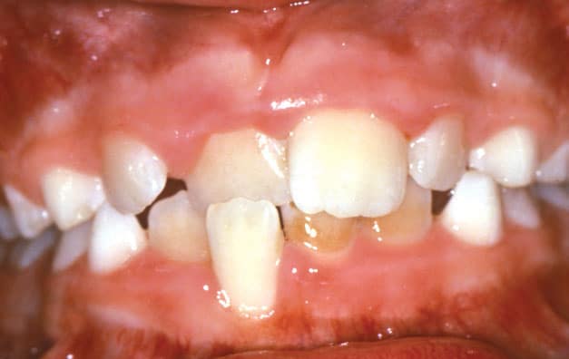
Crowding Mattioli Orthodontics in East Greenwich, RI

Crowding

Teeth do not have enough space to erupt properly, causing overlap or misalignment. Expansion can often correct crowding, reducing the need for tooth removal. Early treatment can also make future orthodontic care faster and easier.

Spacing Mattioli Orthodontics in East Greenwich, RI

Spacing

Gaps between teeth may be caused by missing teeth or may be purely cosmetic. Closing spaces can improve both the function and appearance of your smile.

Underbite Mattioli Orthodontics in East Greenwich, RI

Underbite

The lower jaw extends too far forward, causing the lower front teeth to sit ahead of the upper front teeth. Treating an underbite can enhance chewing ability and promote a balanced facial profile.